MATLAB ヘルプ センター
参照イメージのヒストグラムと一致させるために N 次元イメージのヒストグラムを調整
J = imhistmatchn(I,ref)
J = imhistmatchn(I,ref,nbins)
[J,hgram] = imhistmatchn(___)
J = imhistmatchn(I,ref) は、N 次元グレースケール イメージ I を変換して、ヒストグラムが参照イメージ ref のヒストグラムにほぼ一致するイメージを返します。I と ref はいずれもグレースケール イメージでなければなりませんが、データ型、サイズ、次元数を同じにする必要はありません。
J
I
ref
例
J = imhistmatchn(I,ref,nbins) は、指定されたイメージ データ型の適切な範囲内で、nbins 個の等間隔のビンを使用します。返されるイメージがもつ離散レベルは最大で nbins となります。
nbins
イメージのデータ型:
single または double の場合、ヒストグラムの範囲は [0, 1] です。
single
double
uint8 の場合、ヒストグラムの範囲は [0, 255] です。
uint8
uint16 の場合、ヒストグラムの範囲は [0, 65535] です。
uint16
int16 の場合、ヒストグラムの範囲は [-32768, 32767] です。
int16
[J,hgram] = imhistmatchn(___) は、さらに、マッチングに使用された参照イメージ ref のヒストグラムを hgram に返します。hgram は 1 行 nbins 列のベクトルです。ここで、nbins はヒストグラムのビンの数です。
hgram
すべて折りたたむ
N 次元グレースケール イメージをワークスペースに読み込みます。また、参照ヒストグラムを提供するグレースケール イメージも読み込みます。
load mri D load mristack
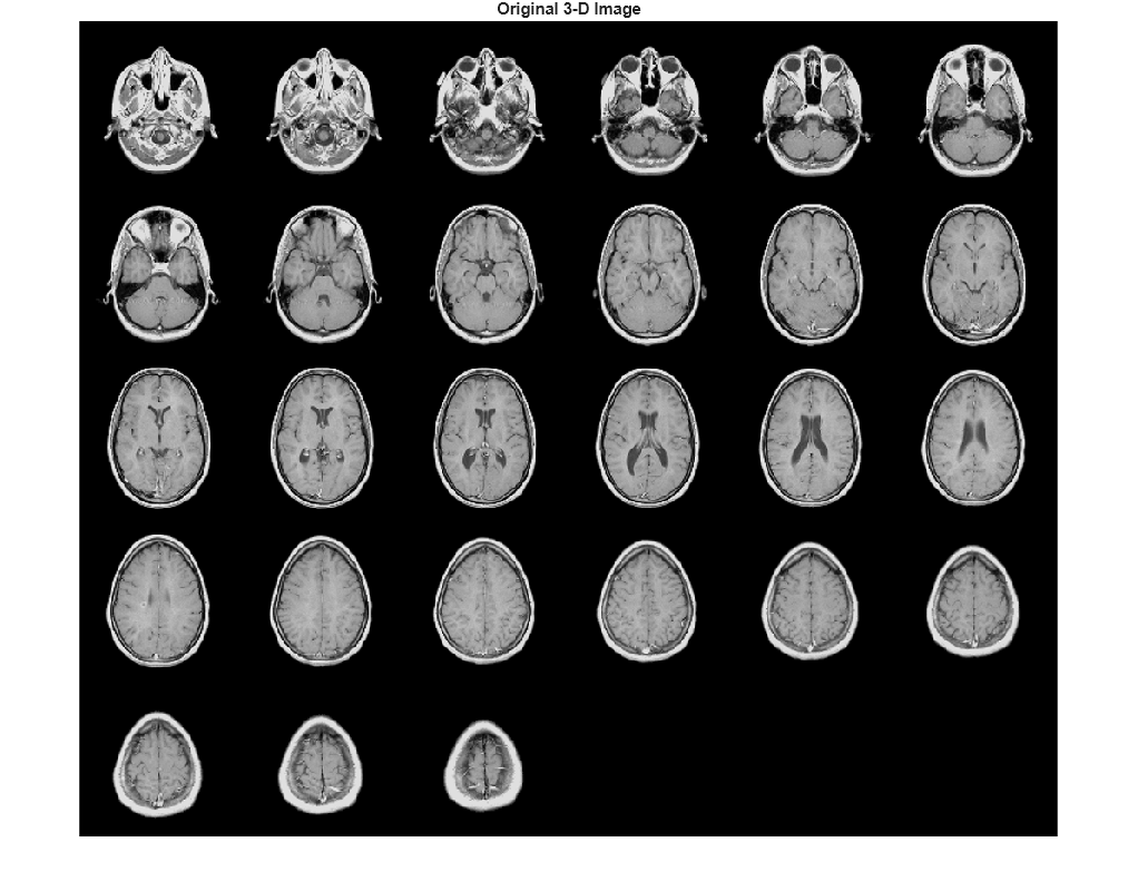
元のボリュームをスライスとして表示します。
figure montage(D,'DisplayRange',[]) title('Original 3-D Image')
表示用に参照の形状を変更してグレースケール スライスのスタックにします。
ref = reshape(mristack,[256,256,1,21]);
参照ボリュームをスライスとして表示します。画面に適切に表示するため、imresize を使用して、参照ボリュームを 0.5 の係数で縮小します。
imresize
ref_downsized = imresize(ref,0.5); figure montage(ref_downsized,'DisplayRange',[]) title('Reference 3-D Image')
D のヒストグラムを原寸大の ref のヒストグラムとマッチングさせます。
D
Dmatched = imhistmatchn(D,ref);
出力を表示します。出力の明度レベルは、元のイメージよりも参照イメージに一致していることがわかります。
figure montage(Dmatched,'DisplayRange',[]) title('Histogram Matched MRI')
変換対象の入力イメージ。N 次元グレースケール イメージとして指定します。関数 imhistmatchn では、データ型が double および single であるイメージの値の範囲は [0, 1] でなければなりません。I が [0, 1] の範囲外の値をもつ場合、関数 rescale を使用して、想定される範囲に値を再スケーリングできます。
imhistmatchn
rescale
データ型: single | double | int16 | uint8 | uint16
参照ヒストグラムとなるヒストグラムをもつ参照イメージ。グレースケール イメージとして指定します。参照イメージは、出力イメージ J を適合させようとする等間隔の nbins ビン参照ヒストグラムを提供します。
関数 imhistmatchn では、データ型が double および single であるイメージの値の範囲は [0, 1] でなければなりません。
64
参照ヒストグラム内の等間隔のビンの数。正の整数として指定します。nbins は、出力イメージ J 内にある離散データ レベル数の上限も表します。
データ型: double
N 次元グレースケール イメージとして返される出力イメージです。出力イメージはイメージ I から導出され、そのヒストグラムは、nbins 個の等間隔のビンで作成された入力イメージ ref のヒストグラムとほぼ一致します。イメージ J のサイズとデータ型は、入力イメージ I と同じです。入力引数 nbins は、イメージ J に含まれる離散レベル数の上限を表します。
参照イメージ ref から導出されるヒストグラム カウントは、1 行 nbins 列のベクトルとして返されます。
R2017a で導入
imhistmatch | histeq | imadjust | imhist
imhistmatch
histeq
imadjust
imhist
You clicked a link that corresponds to this MATLAB command:
Run the command by entering it in the MATLAB Command Window. Web browsers do not support MATLAB commands.
Web サイトの選択
Web サイトを選択すると、翻訳されたコンテンツにアクセスし、地域のイベントやサービスを確認できます。現在の位置情報に基づき、次のサイトの選択を推奨します:
また、以下のリストから Web サイトを選択することもできます。
最適なサイトパフォーマンスの取得方法
中国のサイト (中国語または英語) を選択することで、最適なサイトパフォーマンスが得られます。その他の国の MathWorks のサイトは、お客様の地域からのアクセスが最適化されていません。
南北アメリカ
ヨーロッパ
アジア太平洋地域
最寄りの営業オフィスへのお問い合わせ