MATLAB ヘルプ センター
このページの内容は最新ではありません。最新版の英語を参照するには、ここをクリックします。
ブロック化されたイメージの特定のブロックの読み取り
blockdata = getBlock(bim,blocksub)
blockdata = getBlock(bim,blocksub,'Level',L)
[blockdata,blockinfo] = getBlock(___)
blockdata = getBlock(bim,blocksub) は、blocksub の添字によって指定されるブロックとして blockdata を返します。
blockdata
bim
blocksub
例
blockdata = getBlock(bim,blocksub,'Level',L) は、多重解像度 blockedImage bim の L 番目のレベルから、指定されたブロックを取得します。既定の設定では L は 1 です。
blockedImage
L
[blockdata,blockinfo] = getBlock(___) は、ブロックのメタデータも blockinfo に返します。
blockinfo
すべて折りたたむ
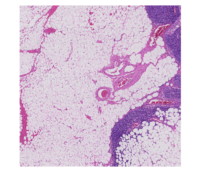
ブロック化されたイメージを作成して表示します。
bim = blockedImage('tumor_091R.tif'); bigimageshow(bim,... 'GridVisible','on', 'GridLevel', 1,... 'GridLineWidth', 2, 'GridColor','k','GridAlpha',0.3);
SizeInBlocks プロパティの値を表示します。
SizeInBlocks
disp(bim.SizeInBlocks)
5 6 1 2 2 1 1 1 1
読み取りたいブロックを指定します。
block = getBlock(bim, [3, 2, 1]);
ブロックを表示します。
imshow(block)
ブロック化されたイメージ。blockedImage オブジェクトとして指定します。
ブロック添字ベクトル。1 行 N 列の整数値のベクトルとして指定します。有効な要素の範囲は、1 から SizeInBlocks プロパティの対応する要素までです。
例: [3, 2, 1]
[3, 2, 1]
ブロック化されたイメージからのピクセルのブロック。数値配列として返されます。エッジ近辺の部分ブロックは、BlockSize プロパティよりも小さくてもかまいません。
BlockSize
struct
ピクセルのブロックのメタデータ。スカラー struct として返されます。blockinfo struct には次のフィールドがあります。
Start
End
Level
R2021a で導入
blockedImage | setBlock
setBlock
You clicked a link that corresponds to this MATLAB command:
Run the command by entering it in the MATLAB Command Window. Web browsers do not support MATLAB commands.
Web サイトの選択
Web サイトを選択すると、翻訳されたコンテンツにアクセスし、地域のイベントやサービスを確認できます。現在の位置情報に基づき、次のサイトの選択を推奨します:
また、以下のリストから Web サイトを選択することもできます。
最適なサイトパフォーマンスの取得方法
中国のサイト (中国語または英語) を選択することで、最適なサイトパフォーマンスが得られます。その他の国の MathWorks のサイトは、お客様の地域からのアクセスが最適化されていません。
南北アメリカ
ヨーロッパ
アジア太平洋地域
最寄りの営業オフィスへのお問い合わせ